Salivary glands

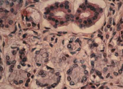
This shows the histological structure of a very small part of a salivary gland. Salivary glands are compound tubuloalveolar, which simply means they are formed from tubes and balloons. The two things that look like doughnuts at the top are two sections through ducts or tubes. The rest of the picture is filled with pale alveoli, the balloons where the saliva is produced. The nuclei (pale blue) of the salivary cells lining the alveoli can be seen.